
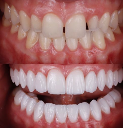
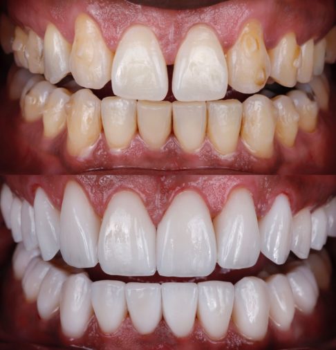
Lentes de contato dental – As lentes de contato conseguem dar um novo formato ao seu sorriso de acordo com o que você deseja.
Primeiro fazemos uma avaliação dos seus dentes para analisar o que você realmente precisa, logo em seguida, por meio da odontologia digital, conseguimos simular como ficará o seu sorriso final, com esses processos já definidos, começa então a confecção das lentes.
Logo após a confecção damos início ao processo de aplicação das lentes de porcelana. Um procedimento rápido, indolor e que entregará o sorriso que você tanto sonha.
Vitória Smile Studio é uma clínica multidisciplinar com equipamentos de última geração usados no diagnóstico e tratamento de cada paciente. Devolvemos o seu sorriso de forma rápida e sustentável, preservando a saúde e a natureza.
Nosso espaço dispõe de um ambiente moderno, seguro e conta com equipamentos sofisticados e para garantir um atendimento de alta qualidade e com condições acessíveis. Os procedimentos são realizados pelo dentista Dr. Mayko Dias Barroso que é especialista em implantodontia, periodontia e prótese. E foi quem criou este espaço para oferecer o melhor da odontologia mundial a você.
Com controle rígido de higiene, nosso ambiente de cuidados e melhorias de seu sorriso opera dentro das normas de biossegurança exigidas pela Vigilância Sanitária.
AGENDE AGORA MESMO SUA CONSULTA!
Marque uma avaliação com um de nossos especialistas
para saber qual é o melhor tratamento para
você transformar o seu sorriso!
ESTAMOS PERTINHO DE VOCÊ!
AVENIDA NOSSA SENHORA DA PENHA, 570
ED. CENTRO DA PRAIA SHOPPING, SALA 506 - VITÓRIA – ES
contato@vitoriasmilestudio.com.br