
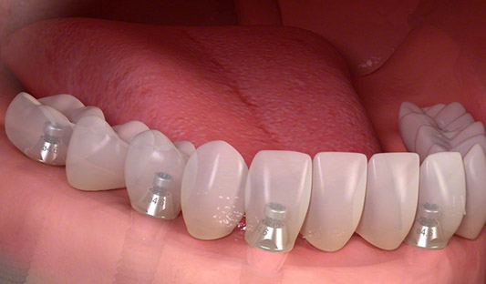
Implante dental – O implante é capaz de transformar o seu sorriso,
ao mesmo tempo ele devolve sua autoestima e te proporciona uma melhor qualidade de vida.
São mais de 50 anos que comprovam a eficácia dos implantes, o tratamento é ideal para pessoas que
perderam um ou mais dentes ao longo da vida.
Ele funciona como suporte para a colocação de um dente substituto ao que foi perdido.
O implante pode ser a solução para os seus problemas. A estética de um belo sorriso irá te oferecer o melhor da vida!
Vitória Smile Studio é uma clínica multidisciplinar com equipamentos de última geração usados no diagnóstico e tratamento de cada paciente. Devolvemos o seu sorriso de forma rápida e sustentável, preservando a saúde e a natureza.
Nosso espaço dispõe de um ambiente moderno, seguro e conta com equipamentos sofisticados e para garantir um atendimento de alta qualidade e com condições acessíveis. Os procedimentos são realizados pelo dentista Dr. Mayko Dias Barroso que é especialista em implantodontia, periodontia e prótese. E foi quem criou este espaço para oferecer o melhor da odontologia mundial a você.
Com controle rígido de higiene, nosso ambiente de cuidados e melhorias de seu sorriso opera dentro das normas de biossegurança exigidas pela Vigilância Sanitária.
AGENDE AGORA MESMO SUA CONSULTA!
Marque uma avaliação com um de nossos especialistas
para saber qual é o melhor tratamento para
você transformar o seu sorriso!
ESTAMOS PERTINHO DE VOCÊ!
AVENIDA NOSSA SENHORA DA PENHA, 570
ED. CENTRO DA PRAIA SHOPPING, SALA 506 - VITÓRIA – ES
contato@vitoriasmilestudio.com.br